症例紹介

歯並び矯正

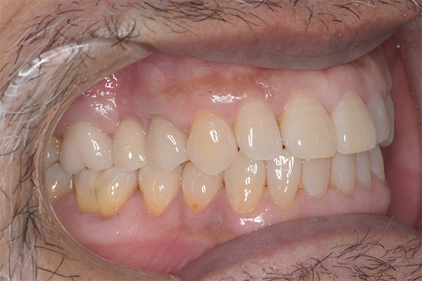
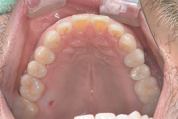
Case.01

歯並び矯正Case.01 歯並び矯正Case.01
患者様の要望歯並びを治したい
治療期間1年10ヶ月
治療費用880,000円(税込)
治療内容ワイヤー矯正
治療のリスク動的治療後、保定装置を決められた期間確実に装着しない場合に後戻りが起こる可能性あり

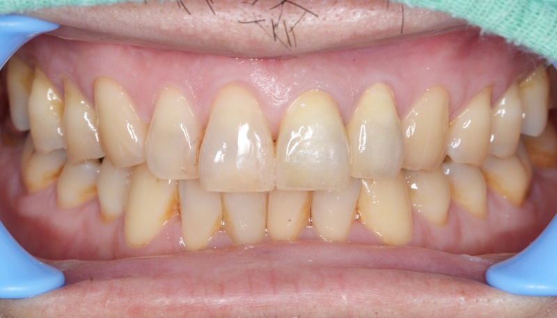
Case.02

歯並び矯正Case.02 歯並び矯正Case.02
年齢・性別25歳 女性
患者様の要望歯のガタガタ・咬み合わせを治したい
担当者所見上下の顎が狭く小さいため、歯が重なって生え、前歯が咬んでいない
治療期間2年
治療費用880,000円(税込)
治療内容上下の顎骨を拡大し、第一小臼歯を抜歯してワイヤー矯正で歯並び・咬み合わせを治す
治療のリスク動的治療後、保定装置を決められた期間確実に装着しない場合に後戻りが起こる可能性あり

Case.03

歯並び矯正Case.03 歯並び矯正Case.03
歯並び矯正Case.03 歯並び矯正Case.03
患者様の要望下の前歯の傾きを治したい
治療期間3ヶ月
治療費用275,000円(税込)
治療内容ワイヤー部分矯正
治療のリスク動的治療後、保定装置を決められた期間確実に装着しない場合に後戻りが起こる可能性あり

Case.04

歯並び矯正Case.04 歯並び矯正Case.04
歯並び矯正Case.04 歯並び矯正Case.04
患者様の要望上の前歯の隙っ歯を治したい
治療期間10か月
治療費用650,000円(税込)
治療内容ワイヤー矯正
治療のリスク動的治療後、保定装置を決められた期間確実に装着しない場合に後戻りが起こる可能性あり

Case.05

歯並び矯正Case.05 歯並び矯正Case.05
歯並び矯正Case.05 歯並び矯正Case.05
歯並び矯正Case.05 歯並び矯正Case.05
歯並び矯正Case.05 歯並び矯正Case.05
主訴前歯のガタガタを
治したい
治療期間6か月
治療費用上下で550,000円(税込)
治療内容上下部分矯正
治療のリスク治療後の後戻りの
可能性

Case.06

歯並び矯正Case.05 歯並び矯正Case.05
歯並び矯正Case.05
主訴歯並びを変えて被せ物
もすべて綺麗にしたい
治療期間1年
治療費用2,545,400円(税込)
治療内容ワイヤー矯正
+セラミック治療
+ホワイトニング
治療のリスク破折の可能性

Case.07

歯並び矯正Case.05 歯並び矯正Case.05
歯並び矯正Case.05
主訴八重歯と前歯の
ガタガタを治したい
治療期間18ヶ月
治療費用装置代880,000円(税込)
治療内容ワイヤー矯正
治療のリスク後戻りの可能性

Case.08

歯並び矯正Case.05 歯並び矯正Case.05
歯並び矯正Case.05 歯並び矯正Case.05
年齢・性別30歳 男性
主訴受け口と前歯の
反対咬合を治したい
治療期間14ヶ月
治療費用装置代880,000円(税込)
治療内容ワイヤー矯正
治療のリスク後戻りの可能性

Case.09

歯並び矯正Case.05 歯並び矯正Case.05
歯並び矯正Case.05 歯並び矯正Case.05
歯並び矯正Case.05 歯並び矯正Case.05
歯並び矯正Case.05
年齢・性別27歳 女性
主訴前歯の開咬を治したい
治療期間20ヶ月
治療費用装置代880,000円(税込)
治療内容ワイヤー矯正
+アンカースクリュー
治療のリスク後戻りの可能性

Case.10

歯並び矯正Case.09 歯並び矯正Case.09
歯並び矯正Case.09 歯並び矯正Case.09
歯並び矯正Case.09
年齢・性別45歳 女性
主訴前歯が咬み合ってないので咬ませたい
治療期間22ヶ月
治療費用装置代880,000円(税込)
+アンカースクリュー22,000円(税込)
治療内容ワイヤー矯正
+アンカースクリュー
治療のリスク後戻りの可能性

Case.11

口ゴボの症例Case.04 口ゴボの症例Case.04
口ゴボの症例Case.04 口ゴボの症例Case.04
口ゴボの症例Case.04
主訴前歯のガタガタと横顔の口ゴボを治したい
治療期間1年7か月
治療費用880,000円(税込み)
治療内容ワイヤー矯正
治療のリスク治療後の後戻りの
可能性

Case.12

ワイヤー矯正・アンカスクリューの症例case.12 ワイヤー矯正・アンカスクリューの症例case.12
ワイヤー矯正・アンカスクリューの症例case.12 ワイヤー矯正・アンカスクリューの症例case.12
ワイヤー矯正・アンカスクリューの症例case.12
主訴前歯のガタガタと
歯の正中線が
大きく
ずれているのを
治したい。
年齢・性別38歳 女性
治療期間25か月
治療費用矯正装置代
880,000円(税込み)
治療内容ワイヤー矯正+アンカースクリュー
治療のリスク治療後の後戻りの
可能性

セラミック治療

Case.01

セラミック治療Case.01 セラミック治療Case.01
患者様の要望銀歯が取れてしまった
白く治したい
治療期間1週間(通院回数:2回)
治療費用77,000円(税込)
治療内容e-max インレーによるセラミック治療
治療のリスク破折の可能性あり

Case.02

セラミック治療Case.02 セラミック治療Case.02
患者様の要望虫歯の治療
白く治したい
治療期間1週間(通院回数:2回)
治療費用77,000円(税込)
治療内容e-max In
治療のリスク破折の可能性あり

Case.03

セラミック治療Case.03 セラミック治療Case.03
患者様の要望被せ物を自分の歯の色に似せて作りたい
治療期間1週間(通院回数:2回)
治療費用99,000円(税込)
治療内容セラミッククラウン
治療のリスク破折の可能性あり

Case.04

セラミック治療Case.04 セラミック治療Case.04
患者様の要望被せ物を自分の歯の色に似せて作りたい
治療期間1週間(通院回数:2回)
治療費用1本あたり 143,000円(税込)
治療内容セラミッククラウン
治療のリスク破折の可能性あり

Case.05

セラミック治療Case.04 セラミック治療Case.04
患者様の要望虫歯の治療を綺麗に治したい
治療期間1週間(通院回数:2回)
治療費用77,000円(税込)
治療内容セラミックインレー
治療のリスク破折の可能性あり

Case.06

セラミック治療Case.06 セラミック治療Case.06
患者様の要望斜めに傾いた被せ物を軸を真っ直ぐに綺麗に被せ直したい
治療期間1ヶ月(通院回数:3回)
治療費用ジルコボンドプレミアム4本
660,000円(税込み)
治療内容古いセラミックの被せ物をは外し、
歯肉を整え被せ物を作り直す
技工士さんも立ち合い、他の歯とも色合いを合わせる。
治療のリスク破折の可能性がある

Case.07

セラミック治療Case.05 セラミック治療Case.05
患者様の要望虫歯の治療を白い詰め物でしたい、銀歯を白く変えたい。
治療期間2回
治療費用1本あたり
77,000円(税込)
治療内容e-maxインレーによるセラミック治療
治療のリスク破折の可能性がある
保証期間5年

Case.08

セラミック治療Case.08 セラミック治療Case.08
患者様の要望銀歯を白く変えたい。
治療期間2回
治療費用1本あたり
77,000円(税込)
治療内容e-maxインレーによるセラミック治療
治療のリスク破折の可能性がある
保証期間5年

Case.09

セラミック治療Case.09 セラミック治療Case.09
患者様の要望前歯2本を綺麗に被せなおしたい。
治療期間1ヶ月(通院回数:3回)
治療費用1本あたり
165,000円(税込)
治療内容ジルコボンドプレミアム
治療のリスク破折の可能性がある

Case.10

セラミック治療Case.10 セラミック治療Case.10
患者様の要望下の前歯のガタガタと色をセラミックで治したい
治療期間1ヶ月
治療費用セラミックの被せ物
5本 総額
550,000円(税込)
治療内容神経を残したままの
セラミック治療
治療のリスクセラミックの破折の
可能性(5年保証)

銀歯を白くする治療

Case.01

銀歯を白くする治療Case.01 銀歯を白くする治療Case.01
患者様の要望銀歯を白くしたい
治療期間60分/1回
治療費用33,000円(税込)
治療内容マイクロスコープを用いたダイレクトボンディング
治療のリスク破折、脱離の可能性あり

親知らず抜歯

Case.01

親知らず抜歯Case.01 親知らず抜歯Case.01
患者様の要望親知らずを抜歯したい
治療期間約30分
治療費用4,500円
治療内容即日抜歯
治療のリスク術後、腫れや痛みが出る可能性があり

Case.02

親知らず抜歯Case.01 親知らず抜歯Case.01
患者様の要望親知らずを2本同時に抜歯したい
治療期間約60分
治療費用約10,000円(保険診療、CT撮影代込み)
治療内容水平に埋まっている智歯の抜歯
治療のリスク術後、腫れや痛みが出る可能性があり

Case.03

親知らず抜歯Case.01 親知らず抜歯Case.01
患者様の要望左上下の親知らずを
いっぺんに抜歯したい
治療期間約45分
治療費用約10,000円(保険診療、CT撮影代込み)
治療内容上下智歯抜歯
治療のリスク術後、腫れや痛みが出る可能性があり

インプラント

Case.01

インプラントの症例 インプラントの症例
インプラントの症例 インプラントの症例
インプラントの症例 インプラントの症例
患者様の要望乳歯が残っているので抜いてインプラント
治療を受けたい。
治療期間8ヶ月
治療費用588,500円
治療内容右上3番にインプラント埋入
治療のリスクネジが緩む可能性あり

Case.02

インプラントの症例 インプラントの症例

治療前〜治療後のレントゲン写真

インプラントの症例 インプラントの症例
インプラントの症例 インプラントの症例
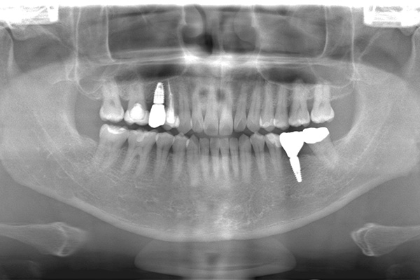
患者様の要望奥歯にインプラント治療したい
治療期間4ヶ月
治療費用880,000円
治療内容左上奥歯に2本インプラント埋入
治療のリスクネジが緩む可能性あり

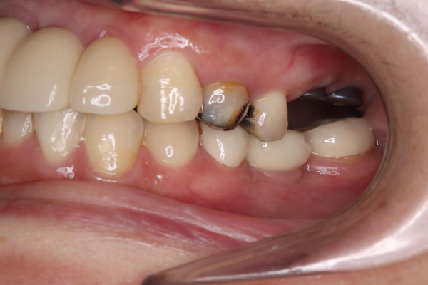
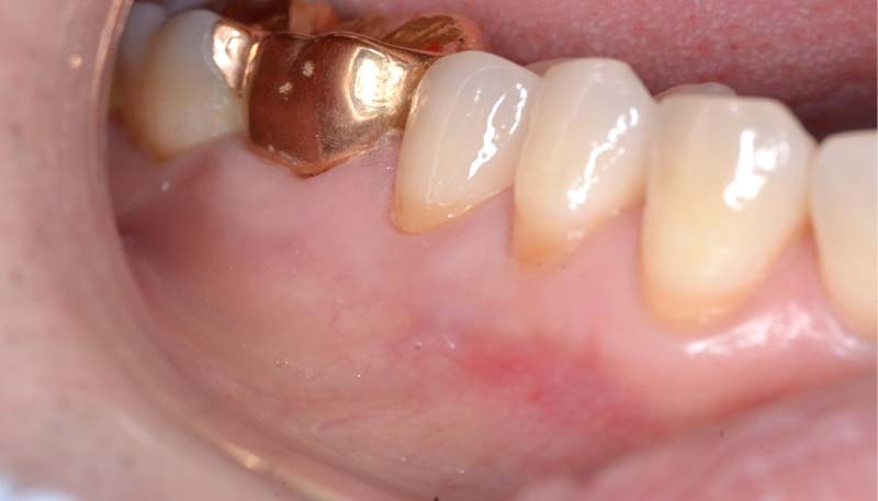
Case.03

インプラントの症例 インプラントの症例
インプラントの症例 インプラントの症例
インプラントの症例 インプラントの症例

治療前〜治療後のレントゲン写真

インプラントの症例 インプラントの症例
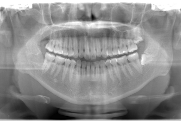
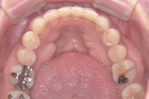
患者様の要望過去に治療したブリッジを外し咬み合わせの平面を整えて、被せ物や詰め物を綺麗にしたい。
治療期間10ヶ月
治療費用約1,600,000円
治療内容インプラント2本、アンカースクリューを用いた部分矯正、
セラミックによる補綴治療
治療のリスクセラミックの破折の
可能性