インプラント

当院のインプラント治療の
特徴

  1. 正確な診断と治療計画 全ての症例においてCT撮影・模型診断・口腔内写真・咬合診査等の資料を分析しどのインプラントのどのサイズが適正か判断し、患者様に提案致します。 正確な診断と治療計画
  2. オペ室完備で感染対策 外科処置専用ルーム(エアロシステムによる部屋自体の空気清浄)や使用機器・道具の滅菌、術前投薬、術前クリーニング、熟練した手技によりインプラント治療における感染予防を徹底しております。 オペ室完備・感染対策
  3. 安心の保証制度 受けていただいたインプラント治療には長い保証(10年)がついております。安心して治療を受けていただけます。インプラント治療は他の歯科治療と比べて高額になる場合が多いため、長い保証制度によって少しでも安心して治療を受けていただければと考えています。 オペ室完備・感染対策

使用しているインプラントの
種類

  • ストローマン社製インプラントRoxolid®SLActive®
  • 京セラ社製インプラントFINESIA

上記のインプラントを採用してる理由として、まずはそれぞれのメーカーに長い歴史と確かな実績あり、販売本数を誇っていることが挙げられます。また、治療期間が短く(最短2か月)、オプションが豊富(マグネット義歯やインプラント義歯など)という点でも他のメーカーよりも優れていると言えます。

インプラント治療の流れ

  1. 診査・診断最初に患者様のお悩みや治療に対するご希望、病歴や現在の健康状態を確認し、懸念がある場合は患者様が通院する病院と連携を取り合い、インプラント治療が可能かどうかの判断をします。次にインプラント治療の流れ、費用・メリット・デメリット、生じるリスクなどもご説明し、お口の中の診査・型取り・レントゲン撮影・咬合診査を行います。
  2. インプラント手術の精密診断
    (CT断層撮影)
    歯科用CTで撮影します。インプラント治療にはインプラント体(人工歯根)を埋入する手術が必要となるため、事前のCTデータを元に3D画像を作製し、それを使ってインプラント体のサイズ・歯の最終形態の術前シミュレーションを行います。そのシミュレーションの結果を患者様へご説明し手術の日程・メーカー・サイズ・オプションなどの最終決定を行います。
  3. 術前クリーニング手術の数日前にお口の中のクリーニングを行い、お口の中の衛生状態を整えます。
  4. インプラント1次手術歯肉を切開し、顎の骨にインプラントを埋入する穴を開けます。埋入して歯肉を戻して縫合します。傷の治癒後は骨とインプラントが結合するのを待ちます。骨とインプラントが結合するまで期間は2~4ヶ月程です。
  5. インプラント2次手術骨とインプラントがしっかり結合したら、埋入したインプラント体の上部構造の制作に入ります。歯肉を切開しヒーリングキャップを装着後、歯肉を戻して縫合し傷の治りを待ちます(10日間ほど)
  6. 歯型採得最終の被せ物の型取りや咬み合わせ取り、作る歯の色の決定などをします。
  7. 完成のチェック被せ物の装着・咬み合わせのチェックをし、治療完了です。
  8. アフターケアインプラント治療が終わったあとも、定期的にメンテナンスを受けていただきます。人工物であるインプラントは天然歯とは硬さ、性状が異なります。インプラントの長持ちの秘訣は「衛生と咬合」です。定期的なメンテナンスを通し、口内が清潔に保たれているかをチェックし日常のケア・管理の指導もさせていただきます。また咬み合わせのチェックを入念することで、インプラントだけでなく他の天然歯の健康維持にも繋がります。

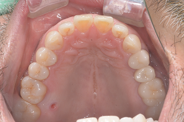
インプラントの症例

Case.01

インプラントの症例 インプラントの症例
インプラントの症例 インプラントの症例
インプラントの症例 インプラントの症例
患者様の要望乳歯が残っているので抜いてインプラント
治療を受けたい。
治療期間8ヶ月
治療費用588,500円
治療内容右上3番にインプラント埋入
治療のリスクネジが緩む可能性あり

Case.02

インプラントの症例 インプラントの症例

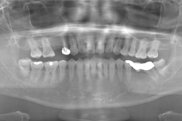
治療前〜治療後のレントゲン写真

インプラントの症例 インプラントの症例
インプラントの症例 インプラントの症例
患者様の要望奥歯にインプラント治療したい
治療期間4ヶ月
治療費用880,000円
治療内容左上奥歯に2本インプラント埋入
治療のリスクネジが緩む可能性あり

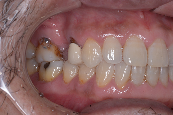
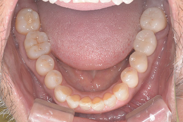
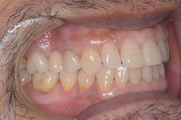
Case.03

インプラントの症例 インプラントの症例
インプラントの症例 インプラントの症例
インプラントの症例 インプラントの症例

治療前〜治療後のレントゲン写真

インプラントの症例 インプラントの症例
患者様の要望過去に治療したブリッジを外し咬み合わせの平面を整えて、被せ物や詰め物を綺麗にしたい。
治療期間10ヶ月
治療費用1,600,000円
治療内容インプラント2本、アンカースクリューを用いた部分矯正、
セラミックによる補綴治療
治療のリスクセラミックの破折の可能性